华体会(中国)-华体会(中国) 华体会网页版登录入口 政策法规 产业市场 节能技术 能源信息 宏观环境 会议会展 活动图库 资料下载 焦点专题 智囊团 企业库
宏观环境  节能产业网 >> 宏观环境 >> 商业资讯 >> 正文
富士胶片27款产品得GOOD DESIGN奖 再获全场最多荣誉
来源:节能产业网 时间:2020/10/19 12:10:01 用手机浏览

近日,富士胶片荣誉宣布,多个业务领域的27项主要产品在公益财团法人日本设计振兴会主办的Good Design Award 2020*1上荣获“Good Design Award(优良设计奖)”。富士胶片产品兼顾外观设计美学及易用性、可操作性,获得了高度评价,连续两年成为获奖产品最多的公司。

除此之外,双筒望远镜“富士能HYPER-CLARITY HC8x42/10x42”、数据流磁带“FUJIFILM LTO Ultrium8”、新一代影像诊断工作站“SYNAPSE SAI viewer V1.3”、RAW转换软件“FUJIFILM X RAW STUDIO”共 4款产品入选“GOOD DESIGN BEST 100”,将进入下一轮审查角逐全场大奖、金奖和特别奖等奖项。

在所有的产品、服务的研发过程中,富士胶片不仅追求功能、性能的高品质,在设计上也精益求精,致力于研发最大程度释放优异性能的设计。富士胶片于去年摘得日本“Good Design奖”的全场大奖,今年在国际上更荣膺IDEA奖金奖,囊括世界三大设计奖最高奖项,也意味着富士胶片在全球产品设计领域的声誉日益提升。

在未来,富士胶片将继续致力于创造新的产品价值,在实现出色外观设计的同时,追求更舒适的操作和更卓越的功能。

富士胶片27款产品获GOOD DESIGN AWARD 2020 连续两年摘得全场最多荣誉

富士胶片入围“GOOD DESIGN BEST 100”产品

1. 双筒望远镜“富士能HYPER-CLARITY HC8x42/10x42”

该款双筒望远镜采用自主研发的“SUPER EBC FUJINON”电子束镀膜技术及大口径镜片,实现明亮清晰的视野。使用防滑弹性体材料*2和更符合人体工学的机身设计,让操作性能更出色。目镜部分的眼杯使用了经过阳极氧化处理的切削铝,追求高品位的设计,充分发挥金属质感。

【评审团评价】

拿在手上的厚重感、对焦环的扭矩感当中都能感受到开发者的用意。虽然外观形象上就是我们每个人想象中的“普通的双筒望远镜”,但它考虑到了所有的细节,完成度很高,让人享受到模拟光学设备最原始的味道,非常出色。可以说,只有生产配备光学取景器的数码相机的厂商才能设计出这样的产品,令人想要长久地使用。

富士胶片双筒望远镜“富士能HYPER-CLARITY HC8x42/10x42” 入围“GOOD DESIGN BEST 100”

2. 数据流磁带“FUJIFILM LTO Ultrium8”

该数据流磁带是一种数据存储介质,其最大记录容量为30 TB(非压缩时为12 TB),是前代型号的两倍。基于“钡铁氧体BaFe磁性颗粒”开发,具有优良的磁性能和长期保存性。

【评审团评价】

许多人对于磁带的印象还停留在旧的记录介质上,但除了读/写之外磁带不消耗电力,因此可以节省功耗,并且杜绝了由于断电、崩溃和网络攻击而导致数据丢失的风险。该产品以其先进的磁性颗粒特性和精密涂布等专有技术,满足了随着ICT和AI发展,对于安全、低成本和长期存储大量数据的需求。我们认为它的设计面向当前和未来,是卓越之选。

富士胶片数据流磁带“FUJIFILM LTO Ultrium8”入围“GOOD DESIGN BEST 100”

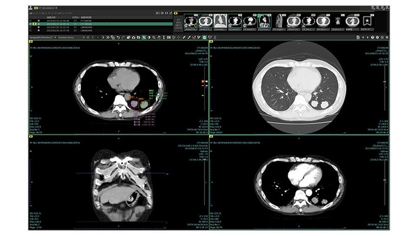
3. 新一代影像诊断工作站 “SYNAPSE SAI viewer V1.3”

该产品是一款利用人工智能(AI)技术开发的辅助医生进行影像诊断工作的平台。利用“肺结节筛查功能”和“肺结节智能分析功能”,前者从胸部CT图像中自动识别并标记多种肺结节病灶,后者提供多维度的分析肺结节性状功能,同时可以生成智能治疗意见和结构化报告,减轻医生的读片工作量,提高影像诊断效率。

【评审团评价】

通过使用AI技术分析胸部CT图像,从而实现疾病的早发现、早治疗,给医生和患者都带来了很大的好处。而除了辅助检测,该软件的数值和图表可视化、绘图工具等功能还能辅助图像诊断的工作流程。

富士胶片新一代影像诊断工作站 “SYNAPSE SAI viewer V1.3”入围“GOOD DESIGN BEST 100”

4. RAW转换软件“FUJIFILM X RAW STUDIO”

该软件可将富士胶片数码相机“X/GFX系列”拍摄的原始图像进行转换。通过USB连接PC和数码相机,用户可以使用数码相机的图像处理引擎,实现快速获取高质量的原始图像,而不受PC处理能力的影响。

【评审团评价】

非常独特的一点在于,该软件可以不受制于所连接的PC的处理能力,而通过利用照相机的图像处理引擎,实现高速处理。而为了帮助用户判断照片的正确颜色,软件画面配色使用灰色基调,与一般的RAW转换软件不同,显示出专用软件的独特考量。摄影师能够高速处理照片,减少了后期处理的压力,也有助于产生更多好作品,同时进一步增强了相机机身的吸引力。这款软件虽然是免费下载软件,但一直在稳步实施软件更新,这种制造商态度也得到了全体评委的高度评价。

富士胶片RAW转换软件“FUJIFILM X RAW STUDIO”入围“GOOD DESIGN BEST 100”

富士胶片获得“Good Design Award 2020(优良设计奖)”产品*3

(除5款未公布产品。)

富士胶片27款产品获GOOD DESIGN AWARD 2020 连续两年摘得全场最多荣誉

*1 1957年由日本通商产业省(现经济产业省)创立了“Good Design 商品选定制度(被称为G标志制度)”,在此基础上,1988年日本工业设计促进组织(现日本设计促进组织)发起了" Good Design Award ",成为日本唯一的综合设计评价和推广体系。60多年来,该制度一直致力于宣传有助于工业发展、提高生活质量的产品设计。

*2 由橡胶和塑料组成的材料。

*3 部分产品未在中国销售。

声明:转载目的在于传递更多信息,文章版权归原作者所有,内容为作者个人观点。本站只提供参考并不构成任何投资及应用建议。如涉及作品内容或其它问题,请在30日内与工作人员联系(附联系方式),我们将第一时间与您协商。谢谢支持!




分享到:
相关文章 iTAG:
没有相关文章
频道推荐
服务中心
微信公众号

CESI
关于本站
版权声明
广告投放
网站帮助
联系我们
网站服务
会员服务
最新项目
资金服务
园区招商
展会合作
节能产业网是以互联网+节能为核心构建的线上线下相结合的一站式节能服务平台。
©2007-2020 CHINA-ESI.COM
鄂ICP备19009381号-2
节能QQ群:39847109
顶部客服微信二维码底部
扫描二维码关注官方公众微信